פלטפוס (כף רגל שטוחה): תמונת מצב עדכנית – הגדרות, מדדים ודרכי טיפול
הקדמה
המונח המוכר "פלטפוס" (שמקורו בגרמנית: Plattfuß), או בשמו הרפואי Pes Planus, מתאר מצב אנטומי נפוץ שבו הקשת האורכית של כף הרגל מושטחת. זוהי אותה קשת המחברת את העקב לכריות האצבעות, ותפקידה הקריטי הוא לבלום זעזועים ולחלק עומסים. במבט ראשון, פלטפוס נראה כצניחה של מרכז כף הרגל אל הקרקע, אך מדובר במנגנון ביומכני מורכב המשנה את יחסי הכוחות ברגל ומשפיע על היציבה כולה.
התפתחות טבעית מול בעיה נרכשת
חשוב להבין: לא כל כף רגל שטוחה היא בעיה. הקשת האורכית מתפתחת בהדרגה, ומגיעה לשיא יציבותה רק עם סיום הצמיחה (סביב גילאי 15-18). לכן, מבנה שטוח אצל פעוטות הוא לרוב שלב פיזיולוגי תקין לחלוטין שחולף מעצמו. לעומת זאת, בגילאים מבוגרים, פלטפוס עשוי להיות שריד מהילדות שלא חלף, או מצב נרכש (Adult Acquired Flatfoot) המופיע בעקבות היחלשות גידים (בדגש על שריר הטיביאליס פוסטריור), טראומה, שינויים הורמונליים (כגון לאחר הריון), מחלות נוירולוגיות או עלייה משמעותית במשקל המשנה את העומס על המפרקים.
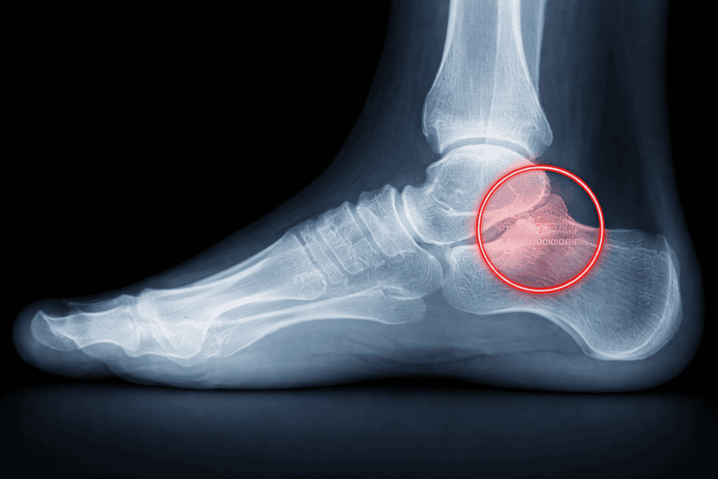
המדדים הרפואיים: מה נחשב "תקין" ומהן דרגות הפלטפוס?
אבחון מקצועי אינו מסתמך רק על "מראה העין", אלא על מדדים קליניים ורדיולוגיים (צילום רנטגן). המדד המקובל ביותר לקביעת חומרת הפלטפוס הוא זווית Meary (הזווית שבין עצם הטאלוס לעצם המסרק הראשונה), הנמדדת בצילום בעמידה תחת נשיאת משקל. בעוד שברגל תקינה העצמות משתלבות בקו כמעט ישר, בפלטפוס נוצרת "קריסה" המוגדרת לפי הדרגות הבאות:
- פלטפוס קל (Mild): זווית קריסה של 1 עד 15 מעלות. במצב זה הקשת נראית נמוכה מהרגיל, אך לרוב נשמרת גמישות ותפקוד טוב.
- פלטפוס בינוני (Moderate): זווית קריסה של 15 עד 30 מעלות. כאן שינוי המבנה ניכר לעין בבירור, ועשוי להוביל לתסמינים של עייפות בכף הרגל וכאב לאחר מאמץ.
- פלטפוס קשה (Severe): זווית קריסה של מעל 30 מעלות. במצב זה כף הרגל שטוחה לחלוטין (מגע מלא עם הקרקע), ולרוב המצב מלווה בשינויים גרמיים ובמגבלה תפקודית.
בנוסף לזווית, קיימת אבחנה קריטית בין פלטפוס גמיש (הקשת מופיעה בעמידה על קצות האצבעות) שנחשב קל יותר לטיפול, לבין פלטפוס קשיח המעיד לרוב על בעיה מבנית מורכבת בעצמות.
השלכות וטיפול: כשמבנה פוגש תפקוד
כאשר הקשת קורסת, מתרחשת לעתים קרובות היפר-פרונציה (גלגול מוגזם של הרגל פנימה). זהו מצב היוצר "אפקט דומינו": סיבוב פנימי של השוק והירך, ועומס מוגבר על הברכיים, האגן והגב התחתון. החדשות הטובות הן שהטיפול כיום מתמקד בניהול העומסים ושיפור איכות החיים:
אורח חיים: שמירה על משקל גוף תקין להפחתת הלחץ המכני על הקשתות.
תמיכה חיצונית: התאמת מדרסים אורתופדיים והנעלה יציבה לתיקון מנח הדריכה.
חיזוק אקטיבי: פיזיותרפיה לחיזוק שרירי הליבה ושרירי כף הרגל הפנימיים.
תוכן העניינים
- אבחון ותסמינים (איך יודעים אם יש לי פלטפוס?)
- פלטפוס אצל ילדים (האם זה עובר לבד ומתי מטפלים?)
- פלטפוס נרכש במבוגרים (למה זה קורה פתאום באמצע החיים?)
- הקשר לכאבי גב וברכיים (השפעת כף הרגל על שאר הגוף)
- מדרסים – סוגים והתאמה (מי באמת צריך ואיזה סוג?)
- תרגילים ופיזיותרפיה (האם אפשר לתקן את הקשת בעזרת ספורט?)
- פלטפוס ופרופיל צבאי (סעיפי ליקוי, הורדת פרופיל ושירות קרבי)
- פלטפוס גמיש מול קשיח (ההבדל הקריטי באבחנה)
- נעליים מומלצות (איך לבחור נעל ריצה או הליכה מתאימה)
- ניתוח ושיקום (מתי הפתרון הכירורגי הכרחי?)
אבחנה קלינית ותסמינים
תקציר: כאשר אנו מבצעים בדיקה לאדם שתלונתו העיקרית היא פלטפוס, האבחנה המבדלת בין מבנה אנטומי של Pes Planus (פלטפוס) לבין פתולוגיה סימפטומטית היא קריטית. הכלל הקליני המנחה הוא כי דפורמציה קלה וא-סימפטומטית אינה מחייבת התערבות טיפולית. אינדיקציה לבירור רפואי מתעוררת כאשר השינוי המבני ניכר, או בנוכחות "דגלים אדומים" כגון: שחיקת סוליה אסימטרית (מדיאלית) מהירה, קריסה משמעותית ל-Valgus של הקרסול, עייפות שרירית המתבטאת בעמידה סטטית קצרה או הליכה לא ארוכה, וכאבים בכף הרגל עצמה או לאורך השרשרת הקינמטית (ברכיים, אגן ועמוד שדרה מותני). פרק זה סוקר את המתודולוגיה לאבחון מקצועי ואת הקריטריונים להפניה לבדיקה.
האבחון הקליני של פלטפוס חורג מעבר להתבוננות פשטנית בהשטחת הקשת האורכית המדיאלית.
זהו תהליך דיאגנוסטי מורכב, שמטרתו להבדיל בין וריאציה אנטומית נורמטיבית לבין מצב פתולוגי הגורם לתחלואה (Morbidity).
האבחון המקצועי מבצע אינטגרציה בין אנמנזה (סיפור המקרה) ותסמינים סובייקטיביים, לבין ממצאים אובייקטיביים בבדיקה פיזיקלית והדמייתית.
1. תסמינים קליניים (Symptomatology)
בעוד שחלק ניכר מהאוכלוסייה עם פלטפוס נותר א-סימפטומטי, הופעת תסמינים מעידה לרוב על כשל במנגנוני הפיצוי הביומכניים המחמיר תחת עומס (Weight-bearing).
התלונות האופייניות מחולקות לפי מנגנון הכאב:
כאבי מתיחה (צד פנימי): כאב ממוקד לאורך הגיד הטיביאלי האחורי (Posterior Tibial Tendon) או סביב הפטישון הפנימי (Medial Malleolus) ותחת הקשת המדיאלית.
כאב זה נובע מעומס מתיחה מתמשך על הרקמות הרכות.
כאבי דחיסה (צד חיצוני וגב הרגל): כאב באזור ה-Sinus Tarsi (שקע בצד החיצוני של הקרסול) עקב לחץ לטרלי (Impingement),
או כאב בגב כף הרגל מעל מרכז הקשת ועצם הקובואיד, הנוצר מעומסי דחיסה בין העצמות הקורסות.
עייפות שרירית: תחושת כבדות מוקדמת הנובעת ממאמץ יתר של השרירים המייצבים (האינטרינסיים והאקסטרינסיים) בניסיון נואש לייצב את המבנה הקורס.
כאב מוקרן (שרשרת קינמטית): עקב השינויים ביציבה, ייתכנו כאבים החורגים מכף הרגל:
במדור הפנימי של הברך (Genu Valgum), במפרק הירך ואף בגב התחתון (Lumbar Spine).
נפיחות: במצבים מתקדמים תיתכן בצקת מקומית, לרוב באזור הפטישון הפנימי, האופיינית למצבים של אי-ספיקת הגיד (PTTD).
2. ממצאים בבדיקה פיזיקלית (Physical Examination)
הבדיקה הקלינית חושפת את השינויים הביומכניים מעבר לאובדן הקשת:
Hindfoot Valgus: במבט אחורי, עצם העקב (Calcaneus) נמצאת בנטייה החוצה (Valgus), בעוד עצם הקרסול (Talus) צונחת פנימה ומטה.
Too Many Toes Sign: בעמידה, כאשר מסתכלים מאחור, נצפית בריחה החוצה (Abduction) של קדמת כף הרגל,
כך שניתן לראות 3-4 אצבעות מהצד החיצוני של העקב (במקום 1.5 במצב תקין).
שחיקת סוליה אופיינית: בדיקת הנעליים תגלה שחיקה מוגברת באזור הפנימי של העקב והקשת, עדות לפרונציית יתר בשלב הדריכה.
בדיקת קשיחות (Rigidity Test): ביצוע מבחן עמידה על קצות אצבעות (Heel Raise Test).
אם הקשת "מופיעה" בעת העלייה – זהו פלטפוס גמיש (Flexible).
היעדר שינוי במבנה מעיד על פלטפוס קשיח (Rigid), המחייב בירור מעמיק לשלילת איחוי עצמות (Tarsal Coalition) או בעיות גרמיות אחרות.
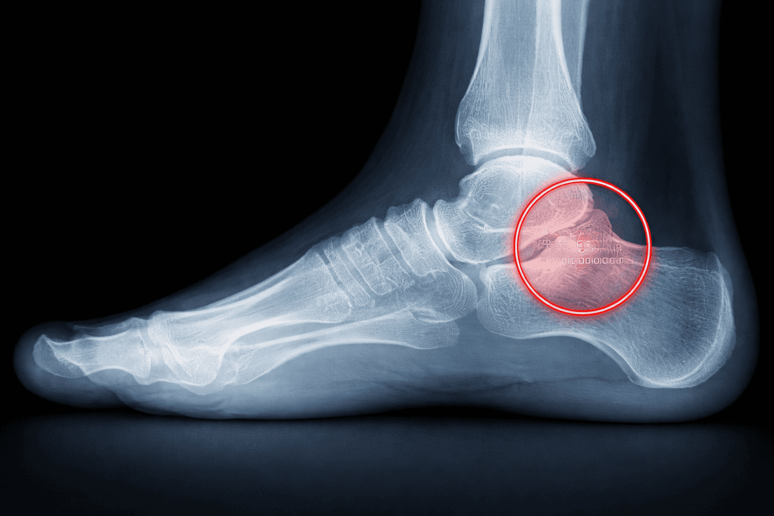
3. אבחון רדיולוגי (צילום רנטגן)
האבחנה המדויקת והחלטה על חומרת המצב מתבצעות לרוב בעזרת צילום רנטגן (X-Ray) הנעשה בעמידה (תחת נשיאת משקל).
בצילום נבחן שתי זוויות מפתח:
א. זווית מירי (Meary’s Angle): הזווית בין הציר הארוך של עצם הטאלוס לציר עצם המסרק הראשונה.
תקין: קו ישר או זווית של 0-4 מעלות.
פלטפוס: נוצרת "שבירה" של הקו כלפי מטה.
קל: 4-15 מעלות.
בינוני: 15-30 מעלות.
קשה: מעל 30 מעלות.
ב. זווית קלקנאל פיץ' (Calcaneal Pitch): מודדת את שיפוע עצם העקב ביחס לקרקע.
תקין: 18-30 מעלות (העקב "מתרומם" יפה).
פלטפוס: מתחת ל-18 מעלות. במצבים חמורים הזווית שטוחה או שלילית.
השורה התחתונה: מתי נדרש טיפול במדרסים?
חשוב להבין כי לא כל רגל שטוחה דורשת התערבות, אך אסור להזניח מצבים שעלולים להוביל לנזק עתידי.
ככלל אצבע, אנו ממליצים על התאמת מדרסים באחד משני המצבים הבאים:
בנוכחות כאב (מצב סימפטומטי): כאשר המטופל חווה כאבים בכף הרגל, בקרסול, בברכיים או בגב, וישנו קשר ביומכני למבנה כף הרגל –
הטיפול במדרסים הוא חיוני להפחתת העומס, שיפור המנח ושיכוך הכאב.
פלטפוס משמעותי ללא כאב (טיפול מניעתי): גם ללא תלונות על כאב כרגע, אם בבדיקה מקצועית מאובחן פלטפוס משמעותי (דרגה בינונית-קשה או זוויות חריגות בצילום) עם קריסה ביומכנית ברורה – ההמלצה היא לטפל.
המטרה היא למנוע שחיקת מפרקים עתידית והחמרה של העיוות לאורך השנים.
לסיכום: אבחון מבדל מדויק על ידי גורם מקצועי הוא תנאי הכרחי להתאמת פרוטוקול טיפול יעיל ולמניעת סיבוכים ארוכי טווח.

Pes Planus בילדים: המהלך הטבעי והגישה הטיפולית
Pes Planus (כף רגל שטוחה) מהווה את אחת הסיבות השכיחות ביותר להפניה למרפאות אורתופדיית ילדים, אך היא טומנת בחובה פרדוקס קליני משמעותי: הפער בין השכיחות הגבוהה של הממצא הפיזיקלי לבין מיעוט המקרים המייצגים פתולוגיה אמיתית. האתגר הדיאגנוסטי העומד בפני הקלינאי אינו הזיהוי של השטחת הקשת האורכית, אלא היכולת לבצע דיפרנציאציה מדויקת בין וריאציה פיזיולוגית של ההתפתחות (Physiological Variant) לבין עיוות מבני פתולוגי הדורש התערבות.
Pes Planus בילדים: סקירה קלינית של אטיולוגיה, השפעות סביבתיות וגישות שיקום
1. אפידמיולוגיה וההיסטוריה הטבעית (Natural History)
הבנת הפתופיזיולוגיה של Pes Planus (כף רגל שטוחה) נשענת על ההבחנה הקריטית בין מצב פתולוגי לבין וריאציה פיזיולוגית של ההתפתחות.
המחקר המכונן של Staheli et al. (שפורסם ב-Journal of Bone and Joint Surgery), הניח את היסודות לגישה המודרנית.
במחקר זה הוכח כי כף רגל שטוחה היא הנורמה בתינוקות ובפעוטות, כתוצאה משילוב של כרית שומן (Fat Pad) הממלאת את הקשת וגמישות יתר רצועתית (Ligamentous Laxity).
הנתונים האפידמיולוגיים מציירים עקומה ברורה של התפתחות ספונטנית (Spontaneous Resolution):
בגיל שנתיים, כ-97% מהילדים מציגים כף רגל שטוחה, בעוד שבגיל עשר השכיחות צונחת לכ-4% בלבד.
מחקרי אורך נוספים, כגון זה של Morley, איששו כי ההתייצבות המבנית המשמעותית ביותר של הקשת האורכית המדיאלית מתרחשת עצמונית סביב גילאי 6-7 שנים, ללא תלות בהתערבות חיצונית.
2. יעילות הטיפול הפסיבי: הפרכת מיתוס המדרסים
במשך עשורים רווחה ההנחה כי תמיכה מכנית חיצונית (מדרסים/נעליים אורתופדיות) חיונית ל"עיצוב" הרגל.
מחקרים פרוספקטיביים מבוקרים (RCTs) הפריכו פרדיגמה זו.
המחקר הבולט ביותר, שבוצע על ידי Wenger et al. (1989), חילק רנדומלית ילדים עם פלטפוס גמיש לקבוצות טיפול שונות (נעליים מתקנות, מדרסי Helfet/UCBL) וקבוצת ביקורת.
לאחר מעקב ממושך, לא נמצא כל הבדל רדיולוגי או קליני בין הקבוצות.
סקירת Cochrane (Rome et al.) חיזקה מסקנה זו וקבעה כי אין ראיות התומכות בשימוש במדרסים בילדים עם פלטפוס אסימפטומטי.
המדרס מוגדר כיום ככלי פליאטיבי בלבד – לשינוי הקינמטיקה והפחתת עומס רגעי במצבי כאב, אך ללא יכולת לשנות את האנטומיה הגרמית בטווח הארוך.
3. השפעות סביבתיות וגישה אקטיבית: "הילד היחף" ושיקום מוטורי
לאור חוסר היעילות של הטיפול הפסיבי, הספרות המודרנית מפנה את הזרקור להשפעת הסביבה והפעלת השרירים (Active Rehabilitation).
המחקר המרכזי התומך בגישה זו הוא מחקרם של Rao and Joseph שבוצע בהודו והשווה בין אוכלוסיית ילדים עירונית (נועלי נעליים) לכפרית (יחפים).
הממצאים הראו שכיחות גבוהה מובהקת של פלטפוס בקרב נועלי הנעליים.
המסקנה הביומכנית היא שהנעל הנוקשה פועלת כ"סד", המגביל את התנועה ומנוון את השרירים האינטרינסיים (Intrinsic Muscles) האחראים לייצוב הקשת.
על בסיס ממצאים אלו, הגישה הטיפולית העדכנית דוגלת בחיזוק מערכת ה-Foot Core באמצעות חשיפה וגירוי סנסו-מוטורי, כחלק אינטגרלי מהניהול הקליני:
גירוי פרופריוצפטיבי (הליכה על חול ים): מומחים ממליצים על הליכה יחפה על משטחים לא יציבים, בדגש על חול רך.
המשטח המשתנה מאלץ את כף הרגל לבצע התאמות מיקרוסקופיות מתמיד (Supination/Pronation), מה שמגייס באופן אינטנסיבי את השרירים המייצבים העמוקים (דוגמת ה-Tibialis Posterior) ומחזק את הקשת באופן דינמי, בשונה מהליכה על משטח קשיח וישר.
תרגול ייעודי (Short Foot Exercise): תרגול מוטורי שמטרתו קירוב ראשי המסרקים (Metatarsals) לכיוון העקב על ידי כיווץ הקשת, ללא כיפוף האצבעות ("Hammering").
תרגול זה הוכח במחקרים כמשפר את השליטה הנוירו-מוסקולרית בכף הרגל.
הליכה על קצות האצבעות: לחיזוק שרירי הגסטרוקנמיוס והסולאוס, התומכים בגיד אכילס ובמנח האחורי של כף הרגל.
4. גורמי סיכון נלווים: השמנת יתר (Obesity)
מחקרים עדכניים (כגון Pfeiffer et al. ב-Pediatrics) מצאו קורלציה ישירה בין BMI גבוה לשכיחות פלטפוס.
מחקרו של Dowling הראה כי עודף משקל מוביל ללחצים פלנטריים גבוהים באזור ה-Midfoot ולקריסה מבנית תחת עומס.
המשמעות הקלינית היא שבמקרים אלו, הטיפול האפקטיבי ביותר הוא מטבולי (ירידה במשקל) בשילוב פעילות גופנית, ולאו דווקא אורתופדי-מכני.
5. הרציונל הטיפולי: מתי מדרסים הם כורח רפואי? (Clinical Indications)
בעוד שהספרות מסתייגת מטיפול ב"נון-מחלה", היא מדגישה בבירור כי קיים תת-קבוצה משמעותית של מטופלים עבורם התערבות אורתוטית (מדרסים) היא חיונית.
במקרים אלו, המדרס אינו משמש ככלי קוסמטי ליישור הרגל, אלא כאביזר רפואי-תפקודי שמטרתו לשנות את הכוחות (Reaction Forces) הפועלים על המפרקים.
האינדיקציות המקובלות כיום כוללות:
כאב מכני והפרעה בתפקוד היומיומי: האינדיקציה המובהקת ביותר.
ילדים המתלוננים על כאבים בקשת (Arch), בקרסול, או התכווצויות שרירים בשוקיים ("Growing Pains" המוחמרים בפעילות).
במקרים אלו, קריסת הקשת גורמת למתיחת יתר של הרקמות הרכות (Plantarfascia, Tibialis Posterior).
המדרס מספק תמיכה שמפחיתה את העומס המכני (Off-loading) ומאפשרת החלמה והקלה מיידית.
עייפות שרירית וירידה בסיבולת (Fatigue & Endurance): תופעה קלינית נפוצה המכונה "The Tired Child".
ילדים אלו נמנעים מפעילות ספורטיבית או מבקשים שייקחו אותם "על הידיים" במהלך הליכות קצרות.
ביומכנית, רגל בפרונציית-יתר (Over-pronation) היא "בזבזנית אנרגיה"; השרירים נאלצים לעבוד קשה יותר כדי לייצב את הרגל בכל צעד.
תיקון המנח באמצעות מדרס משפר את היעילות האנרגטית של ההליכה.
שרשרת קינטית ופתולוגיות מרוחקות (Knee & Back Pain): השפעת כף הרגל אינה נעצרת בקרסול.
פרונציה מוגברת גורמת לסיבוב פנימי (Internal Rotation) של השוק והירך, מה שמשנה את הזווית של הברך (Genu Valgum) והאגן.
[Image of pronation effect on knee valgus]
מדרסים מותווים לילדים הסובלים מכאבי ברכיים (כגון Patellofemoral Pain Syndrome) או כאבי גב תחתון הנובעים ממנח כף רגל לקוי.
גמישות יתר סיסטמית (Hypermobility Syndromes): ילדים המאובחנים עם גמישות יתר (General Ligamentous Laxity) או טונוס נמוך (Hypotonia).
אצלם, מנגנון היציבות הטבעי של הרצועות כושל, והרגל קורסת באופן קיצוני תחת משקל הגוף.
במקרים אלו, המדרס משמש כ"שלד חיצוני" המספק יציבות (Stability) ומאפשר לילד בסיס תמיכה בטוח להתפתחות מוטורית תקינה.
שיקום מנח העקב ושיפור מנוף הגיד (Achilles Lever Arm): במצבי Valgus קשה של העקב, גיד אכילס מאבד את קו הפעולה הישר שלו ופועל בצורה לא יעילה.
מדרס (לרוב מסוג UCBL או Deep Heel Cup) המתקן את מנח העקב, מחזיר לגיד את המנוף הביומכני האופטימלי ומאפשר ניתוק יעיל מהקרקע (Push-off).
6. דגלים אדומים ומצבי קיצון
על אף שהגישה הרווחת היא שמרנית, יש להבדיל בין הפלטפוס הגמיש לבין מצבים המחייבים בירור מעמיק:
פלטפוס קשיח (Rigid): העדר תנועה במפרק הסוב-טלרי מחשיד ל-Tarsal Coalition (איחוי עצמות פתולוגי).
[Image of tarsal coalition x-ray]
מצב זה אינו חולף, מלווה בכאב ודורש לרוב התערבות כירורגית (Resection) לאחר אבחון ב-CT/MRI.
קיצור גיד אכילס: גורם לעומס יתר על הקשת ומחייב פיזיותרפיה למתיחות.
לסיכום: הספרות המחקרית תומכת בגישה של "מינימליזם התערבותי" באוכלוסייה האסימפטומטית.
כף הרגל השטוחה בילדים היא לרוב שלב התפתחותי תקין.
עם זאת, כאשר הפלטפוס הופך לסימפטומטי, פוגע בתפקוד או בשרשרת הקינטית, המדרס הופך לכלי טיפולי ראשון במעלה לשיקום איכות החיים והיכולת המוטורית.

פלטפוס נרכש במבוגרים (AAFD) – מנגנונים, סיכונים ומחקר
בניגוד לתפיסה הרווחת המשייכת כפות רגליים שטוחות לעולם הילדות ולבעיות התפתחותיות, מבוגרים רבים חווים תופעה דרמטית ושונה בתכלית: "קריסה" פתאומית, פרוגרסיבית וכואבת של הקשת האורכית באמצע החיים. תופעה זו, המכונה בספרות Adult-Acquired Flatfoot Deformity (AAFD), איננה חלק טבעי מההזדקנות, אלא כשל מכני של מערכת היציבה. המטופל, שנהנה מכף רגל יציבה במשך עשרות שנים, מוצא עצמו מתמודד עם כאב, אובדן יכולת תפקודית ושינוי צורה ניכר לעין. השאלה המעסיקה את עולם הרפואה היא לא רק "איך זה קורה", אלא "למי זה קורה" – וכיצד גורמים כמו השמנה, עישון ומחלות רקע מאיצים את התהליך ההרסני.
המנגנון הביומכני: כשל של הטיביאליס האחורי (PTTD)
הספרות הרפואית מצביעה על כך שבכ-80% מהמקרים, הגורם הראשוני לקריסה הוא כשל בתפקוד גיד הטיביאליס האחורי (Posterior Tibial Tendon Dysfunction – PTTD).
גיד זה הוא "המייצב הדינמי" הראשי של הקשת; תפקידו להרים את הקשת בכל צעד ולבצע אינוורסיה (Inversion) של העקב.
מחקרים אנטומיים (למשל, Mosier et al. ב-Journal of Bone and Joint Surgery) גילו כי לגיד זה יש נקודת תורפה אנטומית: אזור עם אספקת דם דלה (Hypovascular zone) הממוקם בדיוק מאחורי הפטישון הפנימי.
אזור זה מתקשה להחלים ממיקרו-טראומות מצטברות.
[Image of posterior tibial tendon anatomy]
כאשר הגיד כושל ואינו מסוגל עוד לשאת בעומס, מתרחש "אפקט דומינו":
נטל נשיאת המשקל עובר לרצועות הסטטיות (בעיקר ה-Spring Ligament), שאינן בנויות לעמוד בעומסים אלו.
הרצועות נקרעות בהדרגה, עצם הטלוס "צונחת" מטה, והרגל קורסת למנח שטוח ונוקשה.
הסיווג הקליני המקובל של Johnson and Strom מחלק תהליך זה לארבעה שלבי חומרה, מדלקת פשוטה ועד הרס מפרקי מלא.
פרופיל סיכון אפידמיולוגי: מה אומרים המחקרים?
המחקרים העדכניים משרטטים "פרופיל סיכון" מובהק, המורכב משילוב של גורמים סיסטמיים, התנהגותיים ואנטומיים:
1. "השילוש המסוכן": השמנה, סוכרת ויתר לחץ דם
במחקר המכונן של Holmes and Mann (פורסם ב-Foot & Ankle International), נסקרו מאות מטופלים עם PTTD.
החוקרים מצאו קשר סטטיסטי חזק ומטריד:
השמנת יתר (Obesity): הגורם המכני המשמעותי ביותר.
משקל עודף יוצר עומס קבוע על הגיד, המותח אותו מעבר לגבול האלסטי שלו בכל צעד.
סוכרת ויתר לחץ דם: כ-60% מהמטופלים במחקר סבלו ממחלות אלו.
המנגנון המוצע הוא פגיעה בכלי הדם הקטנים (Microvasculature) המזינים את הגיד, בשילוב עם תהליך גליקציה (Glycation) אצל סוכרתיים, ההופך את הקולגן בגיד לנוקשה, שביר ופחות עמיד לקרעים.
2. עישון: הרס המבנה המיקרוסקופי
עישון מהווה גורם סיכון משמעותי לבריאות הגיד.
הניקוטין גורם לכיווץ כלי דם (Vasoconstriction), מה שמחריף את בעיית אספקת הדם לאזור הקריטי בגיד הטיביאליס.
בנוסף, העישון מעכב את ייצור הקולגן החדש ומעודד אנזימים מפרקי-רקמה, מה שמוביל לסיכון מוגבר לקרעים ולהחלמה איטית מאוד לאחר פציעה או ניתוח.
3. גיל ומגדר
הסטטיסטיקה קובעת כי האוכלוסייה הפגיעה ביותר היא נשים מעל גיל 40 (פי 3 עד 4 יותר מגברים).
ההשערה המדעית קושרת זאת לשינויים הורמונליים בגיל המעבר המשפיעים על גמישות הרצועות (Ligament laxity), לעיתים בשילוב עם היסטוריה של נעילת נעליים לא מתאימות שתרמו לקיצור גיד אכילס.
4. אנטומיה: עצם הסירה הנוספת (Accessory Navicular)
מחקרים (כגון Prichasuk et al.) הראו שכיחות גבוהה של פלטפוס נרכש בקרב אנשים שנולדו עם עצם קטנה נוספת הצמודה לעצם הנביקולר.
עצם זו משנה את זווית החיבור של הגיד ומפחיתה את היעילות המכנית שלו, מה שגורם לו להתעייף מהר יותר תחת עומס רגיל.
הקשר הספורטיבי: חרב פיפיות
הפעילות הגופנית משחקת תפקיד כפול בהתפתחות הפלטפוס הנרכש:
כגורם פציעה ("Weekend Warriors"): ספורטאים חובבים, המבצעים פעילות בעצימות גבוהה (ריצה, כדורסל) ללא סרגל מאמצים תקין וללא התאוששות מספקת, חשופים ל"מיקרו-טראומות" בגיד.
הדלקת הכרונית (Tendinosis) מחלישה את הגיד ומובילה לבסוף לקריסה.
כגורם מגן: מנגד, פעילות סדירה ומבוקרת המחזקת את שרירי השוק (Calf muscles) ואת המייצבים האינטרינסיים של כף הרגל, מהווה הגנה הטובה ביותר.
שריר חזק "סופג" את הזעזועים במקום הגיד והשלד, ושומר על מבנה הקשת לאורך שנים.
לסיכום:
פלטפוס נרכש במבוגרים הוא תוצאה של כשל רב-מערכתי.
בעוד שהגנטיקה והאנטומיה משחקות תפקיד, אורח החיים – בדגש על משקל גוף, עישון וניהול עומסים בספורט – הוא המפתח למניעת הקריסה ולשמירה על יציבות לאורך זמן.
כשהיסודות רועדים, הבניין כולו נסדק
האם ייתכן שהכאב הטורדני בגב התחתון או הדקירות בברך בזמן ריצה, מתחילים למעשה במפגש שבין כף הרגל לקרקע? הפיזיקה פשוטה ואכזרית: כף רגל שקורסת פנימה (פלטפוס) אינה רק בעיה אסתטית או מקומית, אלא כשל הנדסי המשנה את כל מנח השלד. כשהבסיס לא יציב, הגוף נאלץ לייצר פיצויים (Compensations) במפרקים המרוחקים, תהליך שגובה מחיר כבד של שחיקה וכאב. הבנת המנגנון הזה היא המפתח לאבחון שורש הבעיה, ולא רק לטיפול בסימפטומים
סקירה קלינית ומחקרית: השרשרת הקינטית הסגורה (Closed Kinetic Chain)
הקשר בין Pes Planus (כף רגל שטוחה) לכאבים פרוקסימליים (מרוחקים) מוסבר באמצעות המושג "שרשרת קינטית סגורה".
כאשר כף הרגל מקובעת לקרקע בזמן עמידה או הליכה, כל תנועה במפרק הסוב-טלרי (Subtalar Joint) בכף הרגל מחייבת תנועה מפצה בעצמות השוק, הירך והאגן.
1. המנגנון הביומכני: אפקט ה"בורג" ההרסני
כדי להבין כיצד פלטפוס פוגע בגב, עלינו לעקוב אחר מסלול הכוחות, שלב אחר שלב:
בכף הרגל (Hyper-Pronation):
בפלטפוס, כף הרגל מבצעת תנועת פרונציה (גלגול פנימה) מוגברת וממושכת מדי בשלב הדריכה.
הקלקנאוס (עקב) בורח ל-Valgus, והטלוס צונח מטה ופנימה.
בשוק (Internal Tibial Rotation):
עצם הטלוס "נעולה" בתוך מפרק הקרסול עם עצם השוק (Tibia).
לכן, כשהטלוס מסתובב פנימה עם הקריסה, הוא גורר את הטיביה לרוטציה פנימית כפויה.
בברך (Valgus Stress & Lateral Tracking):
הסיבוב הפנימי של השוק משנה את הזווית בין השוק לירך (Q-Angle).
הברך קורסת פנימה (Genu Valgum).
מצב זה גורם לפיקה "לברוח" החוצה ממסלולה התקין, מה שמוביל לשחיקה מוגברת של הסחוס הפטלו-פמורלי.
בירך ובאגן (Hip Internal Rotation & Anterior Tilt):
עצם הירך (Femur) נאלצת גם היא להסתובב פנימה בעקבות השוק.
סיבוב פנימי זה של הירך משנה את מנח האגן וגורם לו לנטות לפנים (Anterior Pelvic Tilt).
בגב התחתון (Lumbar Lordosis):
כשהאגן נוטה לפנים, עמוד השדרה המותני חייב לפצות כדי לשמור על הגוף זקוף.
הפיצוי הוא הגדלת הקשת המותנית (Hyper-Lordosis).
מצב זה מגביר דרמטית את הלחץ על המפרקים הפאצטליים (Facet Joints) ועל הדיסקים הבין-חולייתיים בחלק האחורי.
2. הברך: הקורבן המיידי (Patellofemoral Pain Syndrome)
הברך היא המפרק הפגיע ביותר לשינויים במנח כף הרגל, שכן היא פועלת כציר (Hinge) הממוקם בין שני מנופים ארוכים (שוק וירך) המסתובבים בכיוונים מנוגדים.
מה אומר המחקר?
פרונציה וכאב פטלו-פמורלי (PFPS):
סקירה שיטתית ומטא-אנליזה שפורסמה ב-Journal of Foot and Ankle Research על ידי Barton et al., מצאה ראיות חזקות לכך שאנשים הסובלים מכאב קדמי בברך (PFPS) נוטים להציג מנח כף רגל בפרונציה מוגברת בהשוואה לקבוצת ביקורת בריאה.
המחקר מצביע על כך שהפרונציה גורמת לתזמון לקוי של שריר ה-VMO (השריר הארבע-ראשי הפנימי), מה שמונע ייצוב של הפיקה.
פציעות רצועה צולבת (ACL):
מחקרים ביומכניים (כגון Hertel et al.) הראו שפרונציית-יתר מגבירה את העומס על הרצועה הצולבת הקדמית (ACL) בזמן נחיתה מקפיצה, עקב ה-Valgus הדינמי שנוצר בברך ("קריסת ברכיים פנימה").
3. הגב התחתון: הקשר השנוי במחלוקת אך הקיים
הקשר בין פלטפוס לכאבי גב תחתון (LBP – Low Back Pain) הוא נושא שנחקר רבות.
בעוד שהרפואה המסורתית נטתה להפריד בין התחומים, המחקר המודרני מוצא קשר תפקודי מובהק.
מה אומר המחקר?
מחקר פרמינגהם (The Framingham Foot Study):
אחד המחקרים האפידמיולוגיים הגדולים בעולם.
במחקר שפורסם על ידי Menz et al. (2013) בכתב העת Rheumatology, נבדקו אלפי משתתפים.
הממצאים הראו קשר מובהק סטטיסטית בין פרונציית-יתר של כף הרגל לבין כאבי גב תחתון בקרב נשים.
החוקרים שיערו שהמנגנון הוא אכן הטיית האגן (Anterior Tilt) המגבירה עומס על חוליות הגב התחתון בזמן עמידה ממושכת.
עייפות שרירית:
מחקר נוסף הראה שאנשים עם פלטפוס מציגים פעילות יתר של שרירי זוקפי הגב (Erector Spinae) בזמן הליכה, כניסיון לייצב את הגוף המיטלטל על בסיס לא יציב.
עייפות שרירית זו מובילה לכאב גב מכני כרוני.
4. השלכות הטיפול: האם תיקון כף הרגל מרפא את הגב?
ההוכחה הטובה ביותר לקשר הביומכני היא התגובה לטיפול.
אם מדרסים משפרים כאבי ברכיים או גב, הרי שהמקור היה מכני-דיסטלי (מרוחק).
יעילות מדרסים בכאבי ברכיים:
סקירת Cochrane (Collins et al.) אישרה כי מדרסים (Foot Orthoses) יעילים בטיפול ב-Patellofemoral Pain Syndrome, במיוחד בטווח הקצר והבינוני, וכי השילוב שלהם עם פיזיותרפיה מביא לתוצאות טובות יותר מאשר פיזיותרפיה לבד.
המדרס מגביל את הסיבוב הפנימי של הטיביה ובכך מפחית את החיכוך בברך.
יעילות בכאבי גב:
מחקר קליני שפורסם ב-Archives of Physical Medicine and Rehabilitation (על ידי Dananberg et al.) הראה שיפור דרמטי בכאבי גב תחתון כרוניים אצל מטופלים שטופלו במדרסים שנועדו לשפר את טווח התנועה של הבוהן הגדולה (מניעת פרונציה מפצה).
המסקנה הייתה ששיפור היעילות המכנית של ההליכה מוריד עומס מהגב.
סיכום אינטגרטיבי
הגוף פועל כיחידה אחת.
פלטפוס אינו בעיה "מקומית" של כף הרגל בלבד.
מבחינה ביומכנית, קריסת הקשת היא הטריגר לשרשרת אירועים (Chain Reaction) הכוללת סיבוב פנימי של הגפה התחתונה, קריסת ברכיים, הטיית אגן והקשתת גב.
הספרות המחקרית תומכת בכך שטיפול ב"יסודות" (כף הרגל) באמצעות מדרסים ביומכניים וחיזוק שרירי, יכול להוות פתרון יעיל ובלתי פולשני לכאבים כרוניים בברכיים ובגב, במיוחד כאשר הם נובעים מכשל במערכת היציבה הדינמית.
הטיפול באדם הסובל מכאבי ברכיים או גב חייב לכלול בדיקה יסודית של מנח כף הרגל, שמא הפתרון לבעיה "למעלה" נמצא דווקא "למטה"

ההשפעה הביומכנית והקלינית של מדרסים על פלטפוס – תמונת מצב מחקרית
שינוי פרדיגמה – מתמיכה פסיבית להתערבות נוירו-מכנית
ההבנה הקלינית של אופן פעולתם של מדרסים (Foot Orthoses) עברה תמורה משמעותית בעשורים האחרונים. הגישה המסורתית, שראתה במדרס אביזר פסיבי שנועד "לתמוך בקשת" וליישר את השלד באופן מכני-גס, פינתה את מקומה לתפיסה מורכבת יותר. המחקר העדכני מזהה את המדרס כהתערבות נוירו-מכנית מתוחכמת, המשפיעה לא רק על מנח העצמות אלא גם על אופן חלוקת הכוחות הפועלים על הגוף, על דפוסי גיוס השרירים ועל הקלט התחושתי המגיע למערכת העצבים המרכזית. סקירה זו תבחן לעומק את הראיות המדעיות העדכניות לגבי המנגנונים הביומכניים דרכם משפיעים מדרסים על כף הרגל השטוחה (Pes Planus) והפתולוגיות הנלוות לה.
1. המימד הביומכני: מודל עומס הרקמות ושינוי הכוחות
כדי להבין כיצד מדרס עובד, עלינו לזנוח את הציפייה לשינוי ויזואלי דרמטי ("יישור הרגל") ולהתמקד בשינוי הכוחות הבלתי נראים.
המחקר המודרני נשען על קינטיקה (מדידת כוחות) ולא רק על קינמטיקה (מדידת זוויות).
הפחתת מומנטים ללא יישור מלא: במחקר של Mündermann et al. (2003) שפורסם ב-Journal of Biomechanics, הוכח כי מדרסים משנים את המומנטים (כוחות הפיתול) במפרקי הגפה התחתונה ומפחיתים עומס, גם כאשר התיקון הזוויתי בשלד הוא מזערי.
מודל עומס הרקמות (Tissue Stress Model): הגישה המובילה כיום (נסקרה ע"י Fuller, 1999) גורסת כי המדרס נועד להפחית את העומס (Stress) מרקמה ספציפית שנמצאת בכשל (כגון הגיד הטיביאלי או הפלנטר פציה).
המדרס לוקח את העומס מהאזור הפגוע ומעביר אותו לאזורים בריאים המסוגלים לשאת אותו.
Muscle Tuning: פרופ' Benno Nigg (2001) הציע כי הגוף משנה את דפוסי כיווץ השרירים בתגובה למדרס כדי לשמור על מסלול תנועה מועדף.
מדרס נכון מפחית את "עבודת היתר" של השרירים בניסיון לייצב את הרגל.
2. מדרסים וטיפול בכאב: ראיות קליניות
הספרות המדעית מספקת תמיכה חזקה ליעילותם של מדרסים ביומכניים (בניגוד לרפידות נוחות) בטיפול בפתולוגיות:
דלקת ברצועת הכף (Plantar Fasciitis): במחקר ה-RCT המפורסם של Landorf et al. (2006) ב-Archives of Internal Medicine, נמצא כי מדרסים תפקודיים היו יעילים משמעותית בהפחתת כאב בטווח הקצר לעומת טיפול דמה.
כאב קדמי בברך (PFPS): סקירת Cochrane (ע"י Collins et al., 2008) אישרה כי מדרסים מפחיתים כאב בברך, על ידי הגבלת הרוטציה הפנימית של הטיביה.
כשל בגיד הטיביאליס (PTTD): מחקר של Alvarez et al. (2006) הראה כי 83% מהמטופלים נמנעו מניתוח בזכות שימוש במדרסים ייעודיים שתמכו בקשת ומנעו את קריסת העקב.
3. הדיון המבני: מדוע "מוצרי מדף" לרוב אינם מספקים פתרון?
אחת הסוגיות החשובות ביותר בספרות נוגעת להבדל בין מדרסים "אקומודטיביים" (רכים/לנוחות) לבין מדרסים "פונקציונליים" (מתקנים).
בעוד שמוצרי מדף גנריים נמכרים כפתרון לפלטפוס, המחקרים מצביעים על כך שלרובם חסרים הרכיבים הקריטיים לטיפול בבעיה.
המחקרים (כגון Williams et al., 2003 ב-Journal of Applied Biomechanics) מבודדים שני רכיבים שהם ה"חומר הפעיל" במדרס:
תמיכת קשת קשיחה/חצי-קשיחה (Arch Support): חייבת להיות בעלת התנגדות לכריסה.
וודג' מדיאלי אחורי (Medial Rearfoot Post): זווית המרימה את צד העקב הפנימי.
המסקנה המחקרית לגבי מדרסי מדף:
רוב המדרסים המוכנים הנמכרים בשוק הרחב מבוססים על חומרים רכים וגמישים שנועדו לספק נוחות (Comfort) ובלימת זעזועים ראשונית.
חומרים אלו קורסים תחת משקל הגוף ואינם מכילים את הנוקשות המבנית הנדרשת כדי לייצר את אפקט ה-Anti-pronation.
ולכן, למרות שהם נעימים למגע, הם אינם מספקים פתרון לבעיה הביומכנית (הקריסה נמשכת גם עם המדרס).
היתרון המובהק של ההתאמה האישית:
בניגוד למוצר הגנרי, מדרס בהתאמה אישית נבנה כדי לכלול את האלמנטים המתקנים (וודג' ותמיכה) במינון המדויק לפתולוגיה של המטופל.
במחקרים שהראו יעילות (כמו Landorf), נעשה שימוש במדרסים שהכילו אלמנטים פונקציונליים ברורים.
ההתאמה האישית מאפשרת שליטה מדויקת בזווית הוודג' (למשל, 4 מעלות לעומת 6 מעלות) ובמיקום שיא הקשת, מה שמבטיח שהמדרס לא רק "נוח", אלא אכן משנה את המומנטים הפועלים על המפרקים ומוריד את העומס מהגידים הפגועים.
4. המימד הסנסו-מוטורי: שיפור פרופריוצפציה
אספקט נוסף המבדיל מדרס איכותי מסתם "רפידה" הוא ההשפעה על מערכת העצבים.
המחקר: מחקרים כגון זה של Hatton et al. (2012) ב-Journal of Foot and Ankle Research, הראו כי מדרסים בעלי טקסטורה ומבנה ספציפי משפרים את הקלט התחושתי (Somatosensory input).
המשמעות: בפלטפוס, המגע המלא עם הקרקע לעיתים "מקהה" את התחושה.
מדרס מותאם אישית מספק גירוי מכני ספציפי לכף הרגל, המשפר את בקרת היציבה (Postural Control) ומחדד את שיווי המשקל, אפקט שקשה להשיג עם רפידת ג'ל רכה ואחידה.
סיכום
הראיות המדעיות ה"אמיתיות" מלמדות אותנו כי הטיפול בפלטפוס ובכאבים הנלווים אליו מחייב התייחסות ביומכנית רצינית.
מדרסים רכים וגנריים עשויים לספק נוחות רגעית, אך המחקרים של Williams, Landorf ו-Nigg מוכיחים כי השינוי האמיתי בעומסים ובהפחתת הכאב מגיע רק כאשר משולבים אלמנטים מבניים מובהקים – תמיכת קשת עמידה ווודג' מדיאלי.
אלמנטים אלו, המותאמים במדויק במדרסים רפואיים, הם אלו המאפשרים את ניהול העומסים (Tissue Stress) וההחלמה, שמוצרי מדף בסיסיים אינם מסוגלים לספק.
שיקום אקטיבי: האם ניתן "לבנות מחדש" את הקשת?
במשך עשורים, הטיפול בפלטפוס נשען על פרדיגמה פסיבית של תמיכה חיצונית. אולם, ההבנה כי כף הרגל היא מערכת דינמית ומורכבת ("Foot Core") הובילה לגל חדש של מחקרים הבוחנים את היכולת לשקם את הקשת מבפנים. השאלה המרכזית כיום אינה "האם לתרגל", אלא "איך לתרגל" – אילו עומסים נדרשים כדי לעורר שינוי פיזיולוגי, והאם השינוי הזה מתבטא רק בשיפור הכאב או גם בתיקון ממשי של מנח השלד?
1. הקונספט הבסיסי: מערכת הליבה של כף הרגל (Foot Core)
המחקר המכונן של McKeon et al. (2015) ב-British Journal of Sports Medicine הניח את היסודות לגישה המודרנית.
החוקרים הקבילו את השרירים האינטרינסיים (הפנימיים) של כף הרגל לשרירי הליבה של הבטן.
הטענה המרכזית היא שבפלטפוס שרירים אלו נמצאים בתפקוד חסר (Inhibition), והפעלתם מחדש היא המפתח לייצוב הקשת.
2. סוגי תרגילים ואפיוני פעילות: מה עובד? (סקירה מורחבת)
הספרות המחקרית מבחינה כיום בין מספר סוגי התערבויות, כאשר לכל אחת מנגנון השפעה שונה:
א. Short Foot Exercise (SFE) – "קיצור כף הרגל":
התרגיל הנחקר ביותר.
המחקר: מחקר אלקטרומיוגרפי (EMG) של Jung et al. (2011) ומחקר המשך של Moon et al. (2014).
הממצאים: תרגיל ה-SFE (קירוב ראשי המסרקים לעקב ללא קיפול אצבעות) נמצא יעיל משמעותית יותר מתרגיל "קיפול המגבת" (Towel Curl) בהפעלת שריר ה-Abductor Hallucis – השריר הראשי התומך בקשת המדיאלית.
החוקרים המליצו לזנוח את תרגילי המגבת לטובת SFE לשיפור יציבות הקשת.
ב. אימון התנגדות אקסצנטרי (Eccentric Loading):
גישה זו מתמקדת בחיזוק השרירים האקסטרינסיים (החיצוניים), ובראשם הטיביאליס האחורי.
המחקר: מחקר קליני חשוב של Kulig et al. (2009) שפורסם ב-Arthritis Care & Research.
החוקרים השוו שלוש קבוצות טיפול בפלטפוס נרכש (PTTD): מדרסים בלבד, מדרסים עם מתיחות, ומדרסים עם תרגול התנגדות פרוגרסיבי (בסגנון אקסצנטרי).
הממצאים: הקבוצה שביצעה את התרגול האקטיבי הראתה את השיפור הגדול ביותר בתפקוד ובכאב.
המסקנה היא שחיזוק השריר "בונה" עמידות לעומס ומונע את קריסת הקשת הדינמית בצורה יעילה יותר מתמיכה פסיבית בלבד.
ג. אימון שרירי האצבעות (Toe Flexor Strength):
חשיבות הכוח של הבהונות לדחיפה.
המחקר: מחקר של Goldmann et al. (2013). החוקרים יישמו פרוטוקול אימון אינטנסיבי לשרירי האצבעות (7 שבועות).
הממצאים: האימון לא רק שיפר את כוח האצבעות, אלא שינה את המבנה השרירי והגביר את היעילות האנרגטית בריצה ובקפיצה.
למרות שהמחקר נעשה על ספורטאים, הוא מדגיש כי לאנשים עם פלטפוס (הסובלים לרוב מחולשה באצבעות) יש פוטנציאל שיקום משמעותי דרך עבודה זו.
ד. הנעלה מינימלית ככלי אימון (Minimalist Footwear):
האם הליכה בנעליים דקות מחזקת את הרגל?
המחקר: מחקרים של Ridge et al. (2019) ו-Chen et al. (2016).
החוקרים בדקו השפעה של הליכה בנעליים מינימליות (ללא תמיכת קשת וללא הגבהת עקב) על שרירי הרגל.
הממצאים: נצפתה עלייה מובהקת בנפח (Cross-Sectional Area) של השרירים האינטרינסיים (בעיקר ה-Abductor Hallucis), בדומה לתוצאות של אימון כוח ייעודי.
הליכה בנעליים מינימליות מאלצת את השרירים "לעבוד" בכל צעד, ומחזקת את הקשת באופן פונקציונלי.
3. האם התרגול משנה את המבנה? (שינוי מורפולוגי)
סוגיה זו שנויה במחלוקת, אך מחקרים חדשים מספקים תמונה אופטימית יותר מבעבר.
הגישה הסקפטית (שיפור תפקודי בלבד):
המחקר: Angin et al. (2014) בדקו באמצעות אולטרסאונד את השפעת תרגול SFE.
הממצאים: למרות שנצפתה עלייה בנפח השריר, לא נמדד שינוי מובהק בגובה הקשת (Navicular Height) במנוחה סטטית.
המסקנה הייתה שהשיפור הוא ביכולת להחזיק את הקשת תחת עומס, אך השלד עצמו לא "התיישר" במנוחה.
הגישה האופטימית (ישנו שינוי מבני):
לעומת זאת, מחקרים אחרים מראים תוצאות שונות כאשר פרוטוקול האימון אינטנסיבי מספיק.
המחקר: Unver et al. (2015) שפורסם ב-Journal of Back and Musculoskeletal Rehabilitation.
החוקרים בדקו השפעת תוכנית משולבת של Short Foot ותרגילי חיזוק נוספים על אנשים עם פלטפוס גמיש.
הממצאים: לאחר 6 שבועות, נצפה שיפור מובהק סטטיסטית הן במדד "צניחת הנביקולר" (Navicular Drop) והן ב"אינדקס הקשת" (Arch Index).
כלומר, הקשת אכן התרוממה מעט והפכה ליציבה יותר מבחינה מבנית.
המחקר: Mulligan and Cook (2013) ב-Manual Therapy.
הממצאים: הראו כי בקרב נבדקים שתרגלו SFE, הייתה ירידה משמעותית במידת צניחת הקשת (Navicular Drop) לאחר 4 שבועות.
החוקרים מייחסים זאת לשיפור בטנוס השרירי המייצב את עצמות שורש כף הרגל (Tarsal bones) במנח גבוה יותר.
4. סיכום ומסקנות קליניות
הספרות המחקרית מציגה קונצנזוס ברור לגבי התפקוד, ומחלוקת מסוימת (הנוטה לכיוון החיובי) לגבי המבנה:
סוג התרגיל: עדיפות מוחלטת לתרגילי Short Foot ולתרגול אקסצנטרי (Kulig) על פני תרגילי "מגבת" מיושנים.
אמצעי עזר: שימוש בנעליים מינימליות (באופן מבוקר) יכול לשמש כ"חדר כושר" לכף הרגל ולחזק את השרירים תומכי הקשת (Ridge).
שינוי המבנה: בעוד שחלק מהמחקרים טוענים לשינוי תפקודי בלבד, מחקרים עדכניים (Unver, Mulligan) מוכיחים כי פרוטוקול אימון עקבי יכול להוביל גם לשינוי מדיד בגובה הקשת ובמבנה כף הרגל, כתוצאה מהיפרטרופיה (גדילה) של השרירים התומכים בה מלמטה.

בין מיתוס למציאות: פלטפוס (Pes Planus) והפרופיל הצבאי – תמונת מצב
אחד המיתוסים הנפוצים ביותר בקרב מלש"בים (מועמדים לשירות ביטחון) הוא שפלטפוס מונע אוטומטית שירות קרבי או מוביל לפרופיל 64. המציאות הרפואית והצבאית שונה לחלוטין. הצבא אינו בוחן רק את הצורה (האם הרגל שטוחה), אלא את התפקוד (האם יש כאב או מגבלה). עבור הצבא, כף רגל שטוחה גמישה שאינה כואבת היא כף רגל בריאה לכל דבר ועניין. ספר הפרופילים הצבאי עבר עדכונים רבים כדי לשקף את ההבנה הרפואית שחייל עם פלטפוס קל יכול לרוץ בגולני בדיוק כמו חייל עם קשת גבוהה.
הקריטריון הקובע: גמישות וכאב
הוועדה הרפואית בוחנת את כף הרגל על פי שני מדדים עיקריים הקובעים את חומרת "סעיף הליקוי":
גמישות (Flexible vs. Rigid): האם בעמידה על קצות האצבעות הקשת נוצרת מחדש? (מצב תקין/גמיש) או שהרגל נשארת שטוחה ונוקשה ("בלוק")?
סימפטומים: האם יש דיווח על כאבים, דלקות חוזרות, או שינויים במפרקים הסמוכים?
סיווג הפרופילים לפי דרגת החומרה
1. פלטפוס גמיש וקל (Mild/Flexible) – פרופיל 97
זוהי הקבוצה הגדולה ביותר.
מדובר בנערים עם כף רגל שטוחה, שלעיתים מעולם לא סבלו מכאב והדבר התגלה רק בבדיקה.
המשמעות: כשירות מלאה לכל היחידות, כולל סיירות מובחרות (מטכ"ל, שייטת, טיס).
סעיף ליקוי: יירשם "סעיף ליקוי" פורמלי במערכת (לצורך מעקב), אך הוא אינו מוריד את המספר מ-97 ואינו פוסל שום תפקיד לחימה.
2. פלטפוס בינוני עם כאב (Moderate with Symptoms) – פרופיל 82-72
כאשר הפלטפוס מוגדר כ"בינוני" (דרגה 2 מתוך 3 לרוב) ויש תלונות על כאבים לאחר מאמץ, או עיוות קל של העקב (Valgus).
המשמעות:
פרופיל 82: לרוב כשיר לחי"ר (גולני, צנחנים), אך עלול להיפסל מסיירות עילית ספציפיות הדורשות רף מחמיר במיוחד.
פרופיל 72: כשיר לחי"ר גבולות, שריון, תותחנים, פיקוד העורף.
לרוב לא יגויס לחטיבות החי"ר המסתערות (בגלל עומסי מסעות משקל כבדים מאוד), אך עדיין מוגדר כלוחם.
3. פלטפוס קשה/נוקשה (Severe/Rigid) – פרופיל 64-45
מצב זה נחשב פתולוגי.
מדובר ברוב המקרים בפלטפוס שאינו גמיש (הקשת לא נוצרת בעמידה על קצות האצבעות), לעיתים עקב איחוי עצמות (Tarsal Coalition) או עיוות משמעותי שמפריע להליכה תקינה ולנעילת נעליים צבאיות סטנדרטיות.
[Image of tarsal coalition x-ray]
המשמעות:
פרופיל 64: פסול לחימה (עורפי/תומך לחימה).
יכול לשרת בתפקידים טכניים, מודיעין, שלישות וכו'. פטור מנשיאת משקלים כבדים וממסעות.
פרופיל 45: מגבלה רפואית משמעותית יותר, לעיתים קרובות תפקידים משרדיים או קל"ב (קרוב לבית), כתלות בחומרת הכאב והניידות.
ההתייחסות לציוד: מדרסים ונעליים
צה"ל מכיר בצורך לניהול העומסים:
מדרסים: לחיילים עם פלטפוס (בכל פרופיל) מותר להכניס מדרסים פרטיים לנעלי הצבא.
במקרים מסוימים, הצבא משתתף במימון או מספק מדרסים בסיסיים, אך הרוב מעדיפים לרכוש מדרסים אזרחיים איכותיים.
פטור נעליים: במקרים של כאבים קשים או שפשופים (יבלות) כתוצאה מהמבנה השטוח בתוך הנעל הצבאית הקשה, ניתן לקבל "פטור נעליים" זמני או קבוע (נעלי ספורט/נעליים רפואיות), אך זה נפוץ יותר בפרופילים העורפיים (64 ומטה).
סיכום
המשוואה הצבאית פשוטה: תפקוד > צורה.
אם המלש"ב משחק כדורסל, רץ ומתפקד ללא כאב חריג באזרחות, הצבא לרוב יגייס אותו לקרבי (97/82) גם אם כף הרגל שטוחה לחלוטין.
הורדת הפרופיל המשמעותית (ל-64) שמורה למצבים בהם ישנו כשל ביומכני (נוקשות, דלקות כרוניות) שאינו מאפשר עמידה בעומסי הטירונות הקרבית.

פלטפוס גמיש (Flexible) מול נוקשה (Rigid) – דיאגנוסטיקה ומשמעויות קליניות
בעוד שהמונח "פלטפוס" מתאר תמונת מצב ויזואלית (היעדר קשת), מבחינה רפואית מדובר בשתי פתולוגיות שונות בתכלית. פלטפוס גמיש, המהווה כ-90%-95% מהמקרים, נחשב לרוב לוריאציה פיזיולוגית של הנורמה או לבעיה של רקמות רכות. לעומתו, פלטפוס נוקשה הוא לרוב "דגל אדום" המצביע על בעיה מבנית-גרמית (של העצם) או נוירולוגית. הספרות המחקרית מדגישה כי היכולת להבדיל ביניהם היא הקריטית ביותר בבדיקה הקלינית הראשונית.
1. ההבדל הביומכני: הדינמיות של הקשת
ההבחנה המרכזית נשענת על התנהגות הקשת תחת עומס:
פלטפוס גמיש (Flexible): "הזיקית". באוויר (ללא משקל) נראית קשת תקינה.
הקריסה מתרחשת רק בעמידה, כאשר הרצועות הגמישות והשרירים החלשים מאפשרים למפרקים "לשקוע".
פלטפוס נוקשה (Rigid): "הפסל הקפוא". כף הרגל נותרת שטוחה לחלוטין בכל מצב – בעמידה, בישיבה, או על קצות האצבעות.
טווח התנועה במפרק הסוב-טלרי מוגבל מאוד או אפסי.
2. אבחון קליני: המבחנים המכריעים
הספרות הרפואית מתקפת מבחנים פשוטים המאפשרים אבחנה ללא צורך מיידי בצילומים:
מבחן העמידה על קצות האצבעות (Heel Rise Test): בפלטפוס גמיש, העלייה על האצבעות תגרום לעקב לפנות פנימה (Varus) ולקשת להופיע מחדש.
בפלטפוס נוקשה, העקב נשאר בחוץ והרגל נשארת "בלוק" שטוח.
מבחן ג'ק (Jack’s Test): מתיחת הבוהן הגדולה לאחור.
ברגל גמישה, פעולה זו תמתח את הפלנטר פציה ותקים את הקשת ("מנגנון הכננת").
ברגל נוקשה, הקשת לא תגיב למניפולציה.
3. אטיולוגיה: למה זה קורה?
גמיש: לרוב מולד, קשור לגמישות יתר רצועתית (Ligamentous Laxity) או לגיד אכילס מקוצר הגורם לפיצוי של קריסה.
נוקשה: לרוב תוצאה של איחוי עצמות לא תקין (Tarsal Coalition) המונע תנועה בין העצמות, או שינויים שחיקתיים (ארתריטיים) במפרק.
[Image of tarsal coalition x-ray]
4. הטיפול במדרסים: מיתוס הנוקשות מול תמיכה פונקציונלית
הגישה המודרנית לטיפול בפלטפוס (בעיקר הגמיש הסימפטומטי, אך גם לתמיכה בנוקשה) שמה דגש על שליטה בעומסים ולא על "הקפאת" הרגל בתוך פלסטיק קשיח.
הבעיה במדרסי פלסטיק/קרבון מסורתיים:
בעבר, ההנחה הייתה שכדי לתמוך בפלטפוס מסיבי חייבים "פיגום" קשיח לחלוטין (פלסטיק יצוק או קרבון).
המחקרים והניסיון הקליני הראו שגישה זו בעייתית: החומר הקשיח אינו בולם זעזועים, יוצר נקודות לחץ כואבות על השלד, ולעיתים גורם לרגל "להילחם" במדרס במקום להיתמך בו.
הפתרון: נוקשות מבנית (Structural Stiffness) מחומרים מתקדמים
הספרות הביומכנית העדכנית (כגון עבודותיו של ד"ר קווין קירבי) תומכת בגישה של מתן תמיכה אגרסיבית וחזקה מאוד, אך באמצעות חומרים בעלי דחיסות משתנה וללא פלסטיק קשיח:
גיאומטריה לפני חומר: היכולת של המדרס להתנגד לקריסה לא נובעת רק מקושי החומר, אלא מעומק גביע העקב (Deep Heel Cup) ומגובה התמיכה הקשתית.
גביע עקב עמוק מאוד "לוכד" את עצם הקלקנאוס ומונע ממנה לברוח החוצה, גם אם המדרס עשוי מחומר מוקצף דחוס ולא מפלסטיק.
חומרים מרוכבים (Multi-density EVA): שימוש בחומרים כמו EVA (אתילן ויניל אצטט) בדחיסות גבוהה מאוד (High Shore).
חומרים אלו הם בעלי "זיכרון" מבני חזק – הם מספקים התנגדות מסיבית למשקל הגוף ואינם קורסים, אך בניגוד לפלסטיק, יש להם יכולת מזערית של שיכוך וגמישות.
זהו שילוב המאפשר "תמיכה חזקה" שמרגישה טבעית יותר לרגל.
האפקט הקליני: מדרס כזה מספק את השליטה המכנית הנדרשת (Anti-pronation) כדי להרים את הקשת ולייצב את הקרסול, אך מונע את הכאב והאי-נוחות הנלווים למדרסי קרבון קשיחים,
ומאפשר לפעילות השרירית הטבעית של כף הרגל להמשיך ולהתקיים באופן מבוקר.
לסיכום: הטיפול האידיאלי בפלטפוס דורש מדרס בעל תמיכה חזקה ובלתי מתפשרת, אך החוכמה היא להשיג תמיכה זו דרך מבנה חכם וחומרים דחוסים, ולא דרך קשיחות "מתה" של פלסטיק, העלולה לפגוע בנוחות וביעילות התנועה.

היסודות עליהם אנו עומדים: נעליים לפלטפוס – ביומכניקה וראיות מחקריות
הבחירה בנעל ריצה או הליכה לבעלי כף רגל שטוחה הפכה בשנים האחרונות לתעשייה המגלגלת מיליארדים, אך גם למוקד של ויכוח מדעי סוער. מצד אחד עומדת הגישה ההנדסית-מסורתית, הגורסת כי "רגל קורסת דורשת תמיכה", ומנגד עולה הגישה הקלינית החדשה, המציגה את "פרדוקס הפציעות". האם הנעל היא באמת אביזר רפואי מתקן, או שמא הגוף האנושי מורכב מכדי שחתיכת סוליה תשנה את גורלו? סקירה זו תצלול אל המכניקה והראיות המדעיות הסותרות.
1. המפרט הטכני: האנטומיה של "נעל מתקנת"
מבחינה ביומכנית, נעל המיועדת לכף רגל שטוחה (המכונה לרוב Motion Control או Stability) אינה סתם "קשה".
היא מתוכננת לייצר מומנט נגדי לקריסה (Anti-pronation moment).
כדי שנעל תוגדר ככזו, עליה להכיל שלושה רכיבים מכאניים קריטיים:
צפיפות כפולה (Dual Density Midsole / Medial Post):
זהו סימן ההיכר הקלאסי (לרוב בצבע אפור כהה בצד הפנימי של הסוליה).
המנגנון המכאני: שימוש בחומר פולימרי דחוס יותר בצד הפנימי (Medial) לעומת הצד החיצוני.
כאשר הרגל דורכת, החומר הקשה מתנגד לדחיסה, בעוד הצד החיצוני הרך "קורס".
ההפרש הזה יוצר שיפוע (Wedge) המטה את כף הרגל החוצה ומונע מהקרסול ליפול פנימה.
מייצב עקב קשיח (Rigid Heel Counter):
החלק האחורי העוטף את העקב חייב להיות קשיח מאוד (מכיל פלסטיק פנימי).
המנגנון המכאני: הוא "לוכד" את עצם הקלקנאוס (Calcaneus) ומונע ממנה לברוח לזווית Valgus בזמן שהקשת קורסת.
קשיחות פיתולית (Torsional Stability):
הנעל לא אמורה להיסחט כמו סמרטוט במרכזה.
המנגנון המכאני: מספק פלטפורמה יציבה לשלב הדריכה האמצעי (Mid-stance), המונעת את פיתול הרגל תחת עומס.
2. המחקרים התומכים: הפחתת פרונציה ושיפור בכאב
אסכולה זו רואה בנעל כלי מכני יעיל לשינוי קינמטיקה ולהפחתת עומסים.
המחקר: Cheung & Zhang (2008) – שימוש במודלים ממוחשבים מתקדמים (Finite Element Analysis).
הממצא המכאני: החוקרים הוכיחו כי נעלי Motion Control הפחיתו את שיא הפרונציה (Rearfoot Eversion) ואת הלחצים הפנימיים על הרקמות הרכות והפלנטר פציה באופן מובהק, בהשוואה לנעליים ניטרליות.
המשמעות: הנעל עובדת כ"מכשיר" המפחית עומס מכני.
המחקר: Menz et al. (2013) שפורסם ב-Arthritis Care & Research.
הממצא הקליני: המחקר בדק אנשים עם אוסטיאוארתריטיס (שחיקת סחוס) בכף הרגל, המלווה בפלטפוס.
הנבדקים שנעלו נעליים יציבות עם סוליה קשיחה דיווחו על ירידה משמעותית בכאב בזמן הליכה לעומת אלו בנעליים שטוחות וגמישות.
התיקון המכאני: הגבלת התנועה במפרקים הכואבים אפשרה הפחתת דלקת.
המחקר: Butler et al. (2007) ב-Journal of Applied Biomechanics.
הממצא: בקרב בעלי קשת נמוכה (Low Arched), נעלי Motion Control הפחיתו משמעותית את המהירות בה כף הרגל קורסת (Pronation Velocity).
שליטה במהירות הקריסה חשובה לא פחות מהזווית הסופית למניעת עומס על הגיד הטיביאלי.
3. המחקרים המערערים: פרדוקס הפציעות
מנגד, סדרת מחקרים גדולה זעזעה את העולם הקליני כשהראתה שתיקון מכאני לא בהכרח מונע פציעות.
המחקר המפורסם: Ryan et al. (2011) ב-British Journal of Sports Medicine.
הניסוי: נשים המתאמנות לחצי מרתון חולקו לקבוצות לפי סוג כף הרגל (פלטפוס קיבלו נעל יציבה, ניטרלי קיבלו נעל ניטרלית).
התוצאה המפתיעה: התאמת הנעל לסוג הרגל לא הורידה את כמות הפציעות.
למעשה, רצות עם פלטפוס שקיבלו נעלי Motion Control דיווחו על יותר כאבים והחמיצו יותר ימי אימון מאשר אלו שרצו בנעליים ניטרליות.
המסקנה: מנגנון התיקון האגרסיבי היה "יותר מדי" עבור חלק מהרצות וגרם לנזק משני.
המחקר: Knapik et al. (2010) ב-American Journal of Preventive Medicine.
הניסוי: מחקר ענק על אלפי טירונים בצבא ארה"ב.
השוואה בין התאמה אישית של נעל (לפי גובה קשת) לבין מתן נעל יציבה ("Stability") אחידה לכולם.
התוצאה: לא היה שום הבדל בשיעור הפציעות.
המסקנה: המבנה הספציפי של הנעל הוא גורם שולי במניעת פציעות לעומת משתנים כמו סרגל מאמצים וכושר גופני.
4. השילוב הקריטי: נעל + מדרס
הספרות המקצועית מצביעה על כך שהפתרון האידיאלי הוא סינרגיה בין השניים.
הנעל כבסיס (Foundation): נעל רכה מדי (למשל, Nike Free) תקרוס הצידה תחת עומס של פלטפוס.
אם נכניס לתוכה מדרס, המדרס "יישפך" יחד עם הנעל ולא יהיה אפקטיבי.
המחקר התומך: מחקרים מראים כי נעל יציבה (Stability) מספקת את "הקירות התומכים" (Counter-force),
והמדרס מספק את המגע המדויק עם הקשת והוודג' (Wedge).
השילוב מאפשר שליטה אופטימלית במיקום העקב (Calcaneal Eversion) ומפחית עומס מהפלנטר פציה בצורה טובה יותר מאשר כל אחד בנפרד.
סיכום והמלצה קלינית
המחקר (Cheung, Menz) מוכיח כי נעליים יציבות אכן משנות את המכניקה ומפחיתות כאב קיים (בעיקר בשחיקת סחוס).
עם זאת, המחקרים של Ryan ו-Knapik מזהירים כי נעל מתקנת אינה "חיסון" אוטומטי מפני פציעות, ואם היא אינה נוחה – היא עלולה להזיק.
השורה התחתונה: לבעלי פלטפוס כואב, מומלץ להתחיל עם נעל בעלת בסיס רחב ומייצב עקב קשיח.
אם נדרש תיקון נוסף, עדיף להשתמש בנעל ניטרלית-יציבה ולשלב בתוכה מדרס מותאם אישית, המבצע את התיקון המדויק בתוך סביבה יציבה.

המוצא האחרון: מתי ומדוע מנתחים פלטפוס? – סקירה ביומכנית וכירורגית
בניגוד לתפיסה הרווחת, ניתוח לתיקון פלטפוס (Flatfoot Reconstruction) אינו ניתוח קוסמטי שנועד "ליצור קשת יפה". מדובר בהתערבות אורתופדית מורכבת, הכרוכה בזמני החלמה ארוכים ובסיכונים. הקהילה הרפואית רואה בניתוח כלי לשיקום "כשל מכאני" של כף הרגל – מצב בו המבנה קרס עד כדי כך שהשרירים והרצועות אינם יכולים עוד לשאת את משקל הגוף, והכאב הופך למגבלה תפקודית יומיומית. השאלה הקריטית אינה "כמה הרגל שטוחה", אלא "האם היא מתפקדת".
הנה הטקסט על האופציות הכירורגיות, מעוצב בקפדנות לפי ההנחיות: קמצנות בהדגשות (רק כותרות ומונחים), ריבוי שבירת שורות (
) לקריאות מקסימלית, שילוב תמונות להמחשה, והפרדה ויזואלית (4 שורות רווח) בין החלקים.
HTML
1. הצומת הקריטי: מתי חובה לנתח ומתי אסור?
הספרות המחקרית מציבה קווים אדומים ברורים למעבר מטיפול שמרני לניתוחי.
מתי לא מנתחים?
הקונצנזוס המדעי, הנתמך במחקר המפורסם של Alvarez et al. (2006) ב-Foot & Ankle International, הוא כי גם במצבים של פלטפוס נרכש מתקדם (PTTD Stage II), יש למצות טיפול שמרני אגרסיבי.
המחקר הראה כי 83% מהמועמדים לניתוח החלימו ללא סכין מנתחים בעזרת פרוטוקול של פיזיותרפיה ומדרסים קשיחים.
המסקנה: כאב כשלעצמו אינו אינדיקציה מיידית לניתוח.
מתי הניתוח הוא בלתי נמנע (אינדיקציות מוחלטות)?
על פי הנחיות ה-AOFAS (האיגוד האמריקאי לכף רגל וקרסול) ומחקרים של Myerson (1996):
פלטפוס נוקשה (Rigid Deformity): כאשר המפרקים איבדו את התנועה (ארתריטיס/קואליציה) ושום מדרס לא יכול "ליישר" אותם.
כשל טיפולי: כאב משמעותי הנמשך מעל 6 חודשים למרות טיפול שמרני אופטימלי (מדרסים+פיזיותרפיה).
סכנה לעור: כאשר העיוות כה חמור עד שנוצרים כיבים בלחץ הנעל בחלק הפנימי של הקרסול.
חוסר יציבות: נקעים חוזרים ונשנים שאינם מגיבים לשיקום.
2. ארגז הכלים הכירורגי: סוגי ניתוחים והרציונל הביומכני
הכירורגיה המודרנית דוגלת בגישת "שימור מפרקים" (Joint Sparing) ככל הניתן.
א. ניתוחי הסטת עצמות (Osteotomies) – "הנדסה מחדש"
מיועדים לפלטפוס גמיש שבו המפרקים עדיין בריאים.
הסטת עקב מדיאלית (MDCO – Medial Displacement Calcaneal Osteotomy):
הפעולה: המנתח חותך את עצם העקב (Calcaneus) ומזיז את החלק האחורי שלה פנימה (מדיאלית) בכ-1 ס"מ, ואז מקבע עם בורג.
התיקון הביומכני: מחקרים של Nyska et al. (2001) הראו שפעולה זו משנה את ציר גיד האכילס.
במקום שהגיד "ימשוך" את הרגל לקריסה (Valgus), ההסטה הופכת את הגיד למייצב המסייע להרמת הקשת (Inversion).
הארכת העמודה החיצונית (Evans Osteotomy / Lateral Column Lengthening):
הפעולה: הכנסת שתל עצם בצד החיצוני של כף הרגל (ליד הקוביה).
התיקון הביומכני: פעולה זו "דוחפת" את קדמת כף הרגל פנימה ומייצרת מחדש את הקשת האורכית בכוח, בדומה למתיחת קשת של חץ וקשת.
ב. העברת גידים (Tendon Transfer) – "החלפת מנוע"
הפעולה: לרוב מבוצעת העברה של גיד ה-FDL (מכופף הבהונות) כדי להחליף את גיד הטיביאליס האחורי הקרוע או המנוון.
המחקר: מחקרים מראים כי העברת גיד לבדה אינה מספיקה לאורך זמן, וחייבת להיות משולבת עם חיתוך עצם (Osteotomy) כדי להחזיק מעמד (Myerson et al.).
ג. איחוי מפרקים (Arthrodesis) – "הלחמה"
מיועד למצבים קשים ונוקשים (Stage 3-4).
הפעולה (Triple Arthrodesis): קיבוע של שלושת המפרקים האחוריים (Subtalar, TN, CC) באמצעות ברגים, כך שהם הופכים לגוש עצם יחיד.
התוצאה הביומכנית: ביטול מוחלט של הכאב הנובע מתנועה, ויישור מלא של הרגל.
המחיר: אובדן מוחלט של יכולת ההסתגלות לקרקע לא ישרה (הליכה על אבנים/חול הופכת לקשה מאוד), ועלייה בסיכון לשחיקת קרסול עתידית (Tenuta et al.).
[Image of triple arthrodesis x-ray]
ד. שתל תוך-מפרקי (Arthroereisis) – "הקליע"
הפעולה: החדרת "בורג" או שתל מתכתי לתוך הסינוס טרסי (חלל בין הקרסול לעקב) כדי למנוע פיזית מהעקב לקרוס.
המחלוקת המחקרית: נפוץ מאוד בילדים.
במבוגרים, מחקרים (כגון Viladot et al.) מראים תוצאות מעורבות.
היתרון הוא שזה הפיך, אך החיסרון הוא אחוזי כאב גבוהים (Sinus Tarsi Pain) הדורשים לעיתים את הוצאת השתל.
3. השוואת תוצאות: סכין מול מדרס
מה אומרים הנתונים לטווח ארוך?
שיפור בכאב: מחקרים (כגון Chadwick et al.) מראים שניתוח משולב (הסטת עקב + העברת גיד) מביא לשיפור דרמטי בכאב ובתפקוד אצל כ-85%-90% מהמטופלים שלא הגיבו לטיפול שמרני.
חזרה לספורט: כאן התמונה מורכבת.
בעוד שמדרסים מאפשרים חזרה לפעילות כמעט מלאה, לאחר ניתוח נרחב (במיוחד איחוי מפרקים), היכולת לחזור לספורט אימפקט (ריצה, כדורסל) יורדת משמעותית עקב אובדן בולמי הזעזועים הטבעיים של הרגל.
השוואה ישירה: במחקר של Kulig et al. (2009), הוכח כי טיפול שמרני נכון (תרגול+מדרסים) יכול להביא לתוצאות תפקודיות מצוינות,
וכי הניתוח צריך להישמר אך ורק לאלו שנכשלו בטיפול זה ("Non-responders").
סיכום
ההחלטה לנתח פלטפוס היא החלטה ביומכנית כבדת משקל.
המחקר תומך בגישה מדורגת:
שלב ראשון (חובה): ניסיון של 3-6 חודשים בטיפול שמרני (מדרסים מסיביים + פיזיותרפיה).
שלב שני (ניתוח משמר): אם הכאב נמשך והרגל גמישה -> ביצוע חיתוכי עצם (Osteotomy) והעברת גידים לשחזור המכניקה.
שלב שלישי (ניתוח מקבע): רק ברגל נוקשה והרוסה -> איחוי מפרקים (Arthrodesis) להסרת הכאב במחיר של אובדן תנועה.

הערה קלינית קריטית: עקרון "התמיכה המקסימלית הנסבלת"
לפני שמגדירים את הטיפול השמרני כ"כישלון" ופונים לאופציה הכירורגית, הספרות הרפואית והניסיון הקליני מחייבים ווידוא של פרמטר אחד מכריע: האם המטופל באמת קיבל את התמיכה הביומכנית המקסימלית שהוא מסוגל לשאת?
1. מיתוס המחיר והחומר: קיימת טעות נפוצה לחשוב שמדרס יקר יותר (למשל, מקרבון דקיק ויוקרתי) או מדרס רך ונעים ("מדרס נוחות") הוא בהכרח טוב יותר. המחקר מראה שאין קורלציה בין מחיר המדרס ליעילותו הרפואית.
- הכלל הקובע: המדרס נבחן אך ורק על פי יכולתו לייצר כוח תגובה (Reaction Force) שמספיק כדי לעצור את קריסת העקב והקשת. מדרס יקר שקורס תחת משקל הגוף – הוא חסר תועלת קלינית בהקשר של מניעת ניתוח.
2. מציאת "נקודת האיזון" (The Sweet Spot): האתגר הקליני אינו לייצר את המדרס הכי חזק שיש (שעלול להכאיב ולא יהיה לביש), אלא למצוא את הגבול העליון:
- הקלינאי חייב לשאוף לספק את התיקון האגרסיבי ביותר (הקשת הגבוהה ביותר, הוודג' החזק ביותר) שהמטופל מסוגל להתנהל איתו ביום-יום מבלי לפתח פצעי לחץ או כאב בלתי נסבל.
- המשמעות: לעיתים קרובות, מטופלים מגיעים לניתוח לאחר ש"ניסו מדרסים ונכשלו", אך בפועל הם השתמשו במדרסים רכים מדי שלא סיפקו התנגדות אמיתית. במקרים אלו, המעבר למדרס קשיח-למחצה עם תמיכה מסיבית ("מקסימלית נסבלת") עשוי להעלים את הכאב ולבטל את הצורך בניתוח.
חשוב לזכור: העובדה שיש לכם מדרסים בנעל והכאב נמשך, לא אומרת בהכרח שהפתרון המדרסי נכשל – ייתכן מאוד שהמדרס הספציפי פשוט לא סיפק את הסחורה.
אם אתם עומדים בפני צומת דרכים ושוקלים ניתוח כי "שום דבר לא עזר", אנו מזמינים אתכם להגיע אלינו לבדיקה. אנו נבחן את המדרסים הקיימים שלכם ונבדוק האם הם אכן מספקים את התמיכה המקסימלית הנדרשת, או שמדובר ב"תמיכת דמה". המטרה שלנו היא לנסות ולייצר עבורכם פתרון מדרסים טוב יותר, מדויק יותר ובעיקר – תומך יותר, כזה שיצליח לייצב את הרגל במקום שבו קודמיו נכשלו, ואולי לחסוך מכם את הצורך בהתערבות כירורגית.